Servicios
"En nuestro consultorio de neurocirugía en Monterrey, ofrecemos atención especializada de excelencia para el diagnóstico, tratamiento y seguimiento de enfermedades neurológicas. Nos distinguimos por un enfoque quirúrgico de alta precisión, priorizando técnicas mínimamente invasivas que favorecen una recuperación más rápida, menor dolor postoperatorio y mejores resultados funcionales. Combinamos experiencia clínica, tecnología avanzada y un trato profundamente personalizado. Tu salud neurológica está en manos expertas."
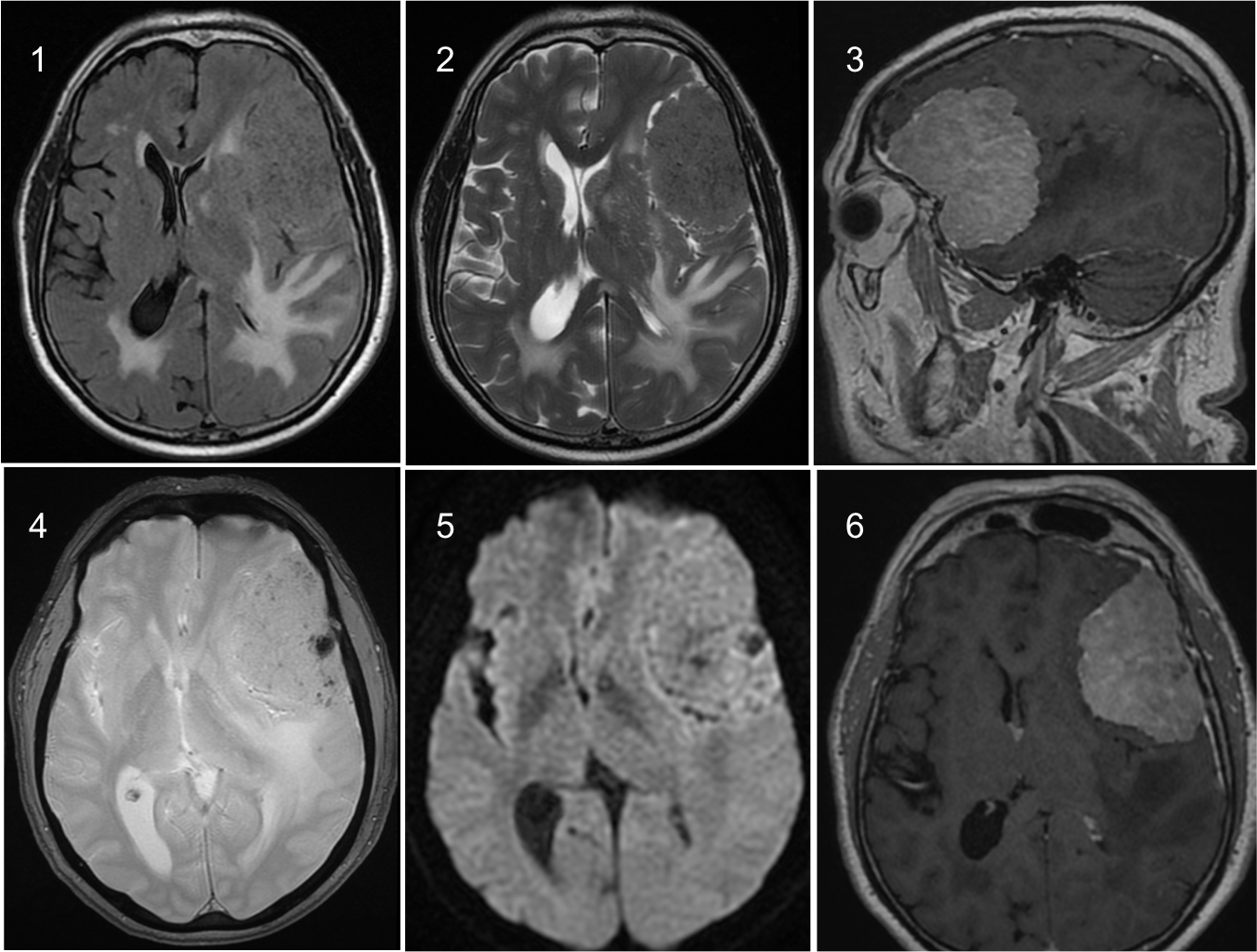
Cirugía Tumor Cerebral
Cirugía de tumor cerebral con enfoque de máxima precisión y técnicas mínimamente invasivas, priorizando la seguridad neurológica y la recuperación funcional.

Cirugía Cerebrovascular
Neurocirugía cerebrovascular avanzada, enfocada en precisión microquirúrgica y resultados neurológicos óptimos.

Cirugía de Columna
Tratamiento quirúrgico de la columna mediante técnicas de alta precisión y abordajes mínimamente invasivos.

